DR. MADHAV HEGDE MD.
DR. MADHAV HEGDE MD.

Blogs

Home   /   Blogs /  Scientific

Pulmonary nocardiosis: Under-diagnosed respiratory opportunistic infection
- A case report

———————
Ajith Kumar A.K.a, Madhav Hegde b,*, Mahesha Padyana a, Sangeeta Joshi a




ABSTRACT

Nocardia infection is a rare disorder caused by bacterium, which tends to affect the lung, brain, and skin. Pulmonary nocardiosis is a subacute or chronic pneumonia caused by a species of the family Nocardiaceae. Nocardia particularly affects immunocompromised patients, and only a few reports have described high resolution computed tomography (HRCT) manifestations in a case series of pulmonary infection. Here we describe a case report in which 70 year old patient with history of bronchial asthma on treatment with inhaled corticosteroid presented to emergency with complaints of cough with scanty expectoration and increase in breathlessness. Initially we suspected it to be a case of pulmonary tuberculosis or acute exacerbation of bronchial asthma but later investigations proved it to be a case of opportunistic pulmonary Nocardiosis. He responded well to anti-nocardia therapy and recovered from the symptoms. We conclude that pulmonary Nocardiosis must be suspected and screened in all patients with immunocompromised state and not responding to preliminary diagnosis of chronic obstructive airway disease, asthma or pulmonary tuberculosis.
Keywords:Nocardia; Pulmonary nocardiosis; HRCT; Corticosteroid therapy; CT

Nocardia infection is a rare disorder caused by bacteria, which tends to affect the lung, brain, and skin. Pulmonary nocardiosis is a subacute or chronic pneumonia caused by a species of the family Nocardiaceae. Seven species have been associated with human disease. Nocardia asteroides is responsible for about 70% of infection caused by these organisms and debilitated patients have a 45% mortality rate even with appropriate therapy. The typical lesions of nocardiosis are abscesses extensively infiltrated with neutrophils [1]. Nocardia particularly affects immunocompromised patients, and only a few reports have described high resolution computed tomography (HRCT) manifestations [2e5].

Although HRCT plays an important role in the diagnosis of pulmonary nocardiosis, variations in HRCT findings have not correlated with clinical diagnosis. Here, we describe the radiological features of pulmonary nocardiosis with respect to pulmonary nodules. Impaired cell-mediated immunity would increase the prevalence of infection [6], however, there was no study to examine the status of cumulative and/or daily dose of steroid treatment in patients with pulmonary nocardiosis. Case report: 70 year old patient with history of bronchial asthma presently on treatment with inhaled corticosteroid presented to emergency with complaints of cough with scanty expectoration and increase in breathlessness of 10 days duration. On examination he was tachypneic, tachycardic, had type 1 respiratory failure. Chest auscultation revealed harsh vesicular breath sound with bilateral expiratory wheeze and diminished breath sound in left infra axillary area. Chest x-ray and ultra sound revealed left mid and lower zone consolidation with minimal pleural effusion (Fig. 1). Laboratory evaluation revealed hemoglobin level of 10 g/dL. His WBC count was

Page 1

15.9  103/mm3 (neutrophils 74%, eosinophils 1%, lymphocytes 26%, monocytes 5%). Serum creatinine was 1.6 g/dl.

He was initiated on ceftriaxone, azithromycin and non invasive ventilation for mild ARDS(Acute Respiratory Distress Syndrome). On day 4 of hospital stay, his breathing mechanics worsened and he was initiated on mechanical ventilation in view of worsening ARDS and pneumonia. Endotracheal aspirate culture initially revealed Staphylococcus aureus which was subsequently turned out to be contaminant. To rule out pulmonary tuberculosis two samples were sent for AFB smear (Acid Fast Bacillus)examination and were found to be negative. Mycobacterial culture was sent. CT thorax on day 8 showed bilateral extensive areas of consolidation (Figs. 2e4) with multiple small cavitating nodules (Fig. 5). Special stain for Nocardia was done on the broncho-alveolar lavage e Kinyoun stain was done which revealed weakly acid fast branching bacilli (Fig. 6). Culture of the BAL was done on 5% Sheep blood agar and chocolate agar which revealed chalky white colonies after 3 days of incubation. These were identified Nocardia sps on staining morphology on Grams stain and Kinyoun stain. He was initiated on trimethoprim and sulphamethoxazole. Subsequently he had VAP (Ventilator Associated Pneumonia) with gram negative bacteria, and was treated as per sensitivity. Tracheostomy was performed and weaned off ventilator.

2. Discussion

Nocardia is a rare opportunistic pathogen that particularly affects immunocompromised patients. Inhaled or systemic

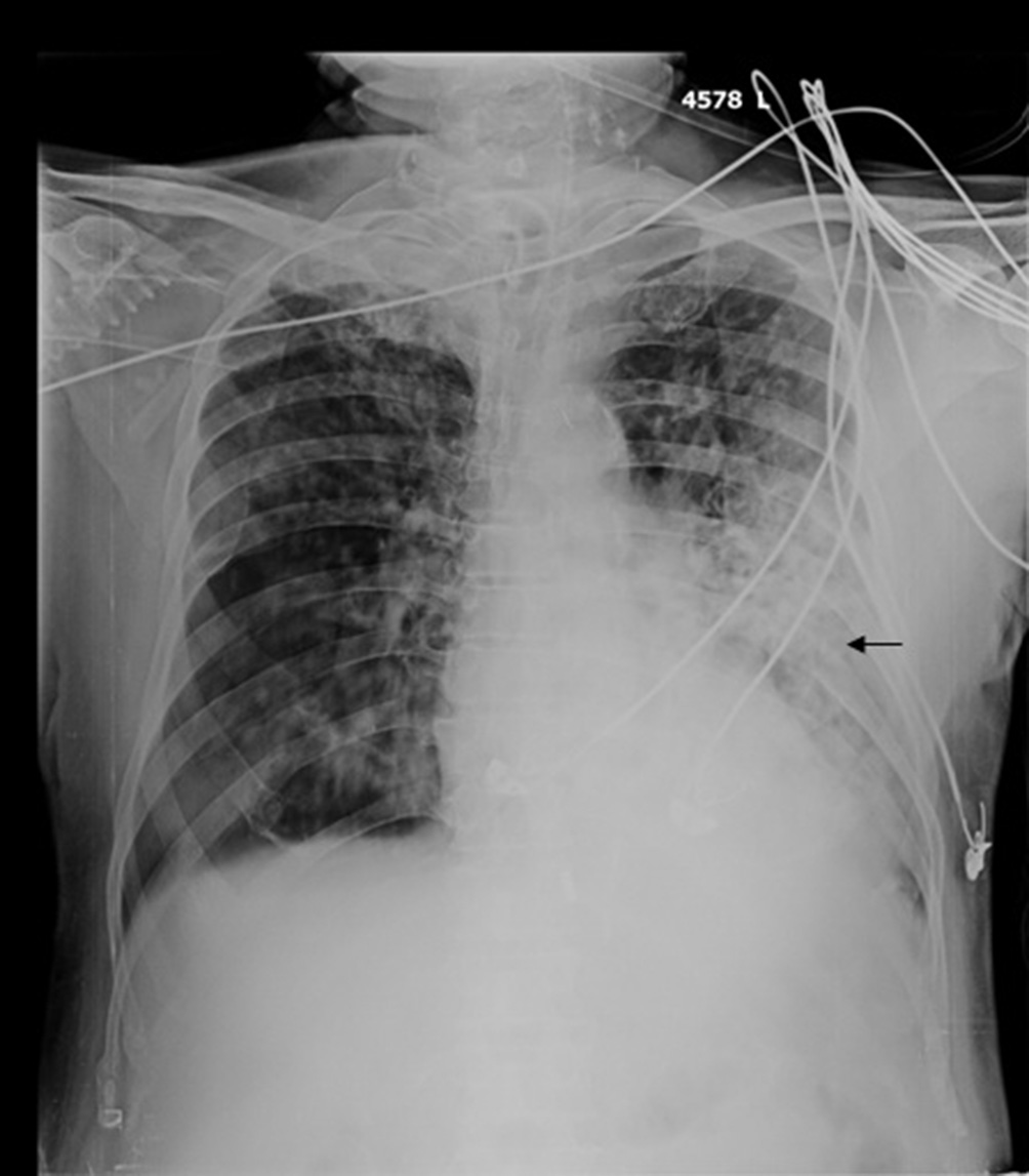
Fig. 1. Bilateral nodular radio opacities with large coalescent region in left lower zone (arrow).
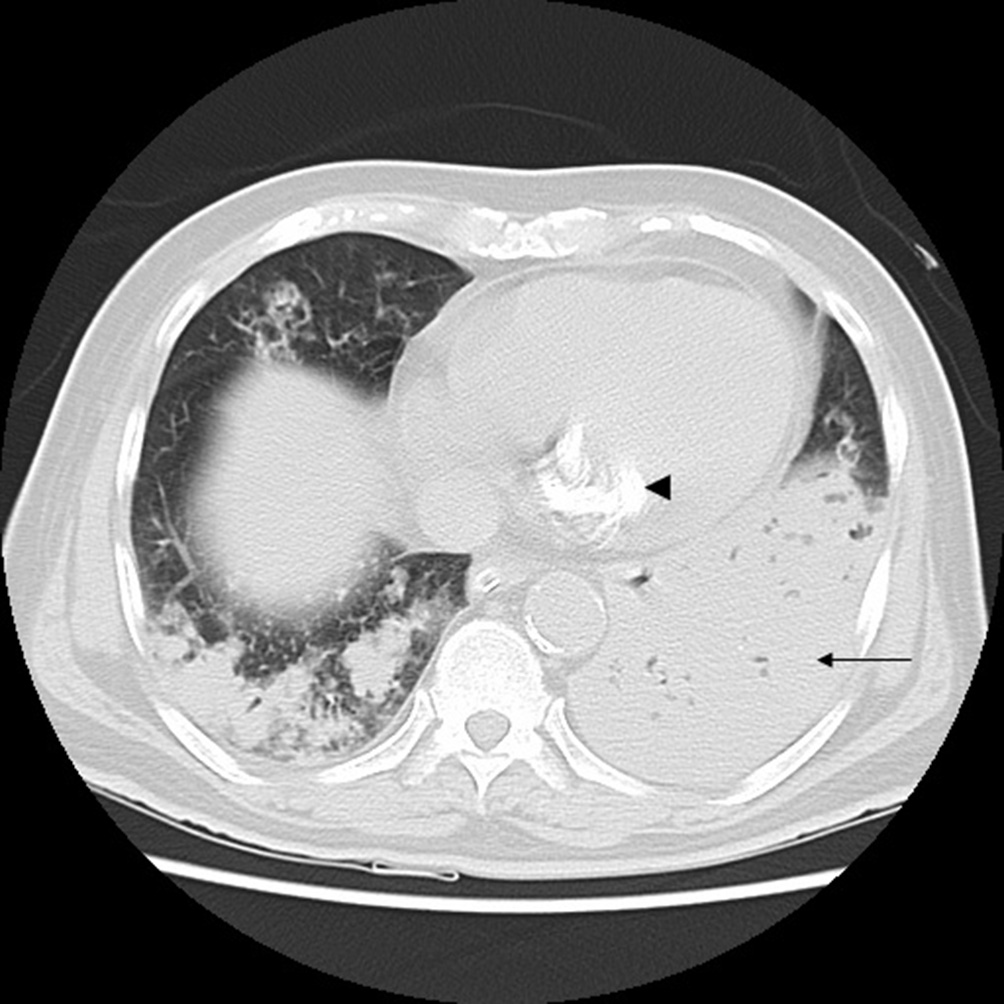
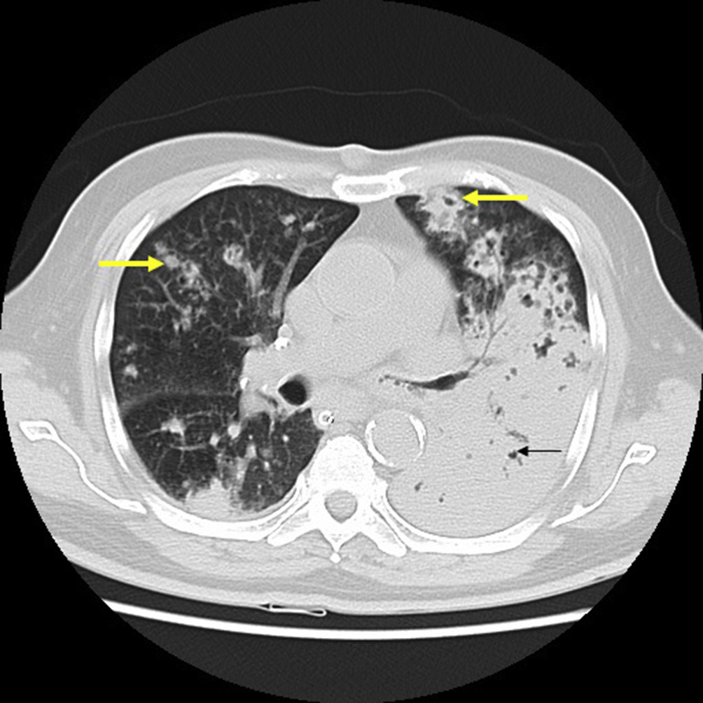
Fig. 2. CT transverse section shows large area of consolidation (arrow) in superior segment of left lower lobe. Fig. 3. CT transverse section (lung window) shows bilateral nodular lesions (yellow arrows) and subtle air bronchogram in large area of consolidation (thin arrow) on left.

corticosteroids can predispose to pulmonary nocardiosis [7]. Stuck et al. [6] found 12.7% and 8.0% overall rates of infectious complications in steroid-treated and control patients, respectively (relative risk: 1.6), and the rate of infection did not increase in patients admin- istered with <10 mg/day or a cumulative dose of <700 mg of prednisone [8].

Suppression of cellular immunity appears to play a key role in the establishment of Nocardia infection [9]. Inhaled

Page 2
Fig. 4. Incidental mitral annular calcification (arrowhead) is seen. Thin arrow indicates consolidation. Fig. 5. CT transverse section (lung window) shows bilateral nodular lesions in bilateral upper lobes with central cavitation (arrows) in a few lesions on left.

corticosteroids can suppress the immunity leading to increased risk of mycobacterial and other bacterial infection [10]. Bronchopulmonary or disseminated nocardiosis can occur in various rheumatologic diseases, including SLE, temporal arteritis, polyarthritis nodosa, intermittent hydrarthrosis, vasculitis, or uveitis [11]. Persons with pulmonary alveolar proteinosis are also at increased risk [8]. Nocardiosis can occur in apparently healthy population but further detailed immunologic evaluation particularly for interleukin-12-

Fig. 6. Gram stain showing Gram positive branching bacilli.

gamma interferon pathway deficiency or other immunological abnormalities may help in diagnosis of these patients' underlying diseases in the future. Amatya et al. have also reported a case of immunocompetent individual with subcutaneous involvement involving Nocardia brasiliensis [9]. In our case steroids used for bronchial asthma contributed for immunosuppression.

The clinical presentation of pulmonary nocardiosis is variable and nonspecific with a chronic course [9]. Symptoms usually have been present for days or weeks at presentation. In this case symptoms were present for two weeks before being referred to our hospital. The usual symptoms are that of dyspnea, productive cough, and fever. In our case presenting symptoms were those of chronic cough with productive sputum, low grade fever, weakness. The chest radiographic manifestations are pleomorphic and nonspecific. Consolidations and large irregular nodules, often cavitary, are most common; nodules, masses, and interstitial patterns also occur [12]. Upper lobes are more commonly involved [3]. Computed tomography findings include consolidation with or without cavitation, multiple discrete pulmonary nodules, pleural effusion, and chest wall extension.

Since the clinical and radiologic manifestations are nonspecific, and the microbiological diagnosis is often difficult, it seems likely that, in some patients, pulmonary nocardiosis will be mistaken for other infections, such as tuberculosis, bacterial pneumonia, or malignancies. In countries where tuberculosis is very common, anti tuberculosis drugs are started on basis of radiology and clinical symptoms like our case.

Difficulty and slowness of culture growth, along with the lack of a serologic test for nocardiosis, necessitate its inclusion in the differential diagnosis for immunocompromised patients in whom an apparent pulmonary infection cannot be rapidly diagnosed. If sputum examinations do not yield the diagnosis in a suspected case and the diagnosis cannot be made easily from lesions elsewhere in the body, more invasive diagnostic procedures like bronchoscopy, needle aspiration, and open lung biopsy should be performed [13]. The treatment of choice

Page 3

for this infection includes sulphonamides and, more recently, trimethoprim and sulphamethoxazole associated with surgical drainage when required but other regimens like amikacin, imipenem, minocycline, linezolid, and cephalosporins are alternatives [14,15]. Therapy must be prolonged to prevent relapses. The duration of treatment for nocardiosis depends on disease site. For pulmonary involvement, therapy is usually continued for 6e12 months or for 2e3 months after disease resolution [16].

3. Conclusions

This case highlights that pulmonary nocardiosis should be kept in mind especially in immunocompromised patients due to prolonged steroid therapy and in suspected cases of tuberculosis showing no tubercle bacilli either in the direct smears or cultures.

References

[1] Hwang JH, Koh WJ, Suh GY. Pulmonary nocardiosis with multiple cavitary nodules in aHIV-negative immunocompromised patient. Intern Med 2004;43(9):852e4.
[2] Hui CH, Au VW, Rowland K, Gordon DL. Pulmonary nocardiosis revisited: experience of 35 patients at diagnosis. Respir Med 2003;97: 709e17.
[3] Oszoyoglu AA, Kirsch J, Mohammed TL. Pulmonary nocardiosis after lung transplantation: CT findings in 7 patients and review of the literature. J Thorac Imaging 2007;22:143e8.
[4] Blackmon KN, Ravenel JG, Gomez JM, Ciolino J, Wray DW. Pulmonary nocardiosis: computed tomography features at diagnosis. J Thorac Imaging 2011;26:224e9.
[5] Kanne JP, Yandow DR, Mohammed TL, Meyer CA. CT findings of pulmonary nocardiosis. AJR Am J Roentgenol 2011;197:W266e72.
[6] Stuck AE, Minder CE, Frey FJ. Risk of infectious complications in patients taking glucocorticosteroids. Rev Infect Dis 1989;11:954e63.
[7] Bruguera-Avila N, Becker C, Garcia-Olive I, Ruiz-Manzano J. Pulmonary nocardia: a single-center experience. J Pulm Respir Med 2014; 4:167.
[8] Tsujimoto N, Saraya T, Kikuchi K, Takata S, Kurihara Y, Hiraoka S, et al. High-resolution CT findings of patients with pulmonary nocardiosis. J Thorac Dis 2012 Dec;4(6):577e82.
[9] Hızel K, Caglar K, Cabadak H, Ku¨lah C. Pulmonary nocardiosis in a non-Hodgkin's lymphoma patient. Infection 2002;30(4):243e5.
[10] Sabroe Ian, Postma Dirkje, Heijink Irene, Dockrell David H. The yin and the yang of immunosuppression with inhaled corticosteroids. Thorax 2013;0:1e3.
[11] Klein NC, Go CH, Cunha BA. Infections associated with steroid use. Infect Dis Clin N Am 2001;15:423e32.
[12] Feigin DS. Nocardiosis of the lung: chest radiographic findings in 21 cases. Radiology 1986;159(1):9e14.
[13] Goetz MB, Finegold SM. Nocardiosis. In: Murray JF, Nadel JA, editors. Textbook of respiratory medicine. 3rd ed. Saunders; 2000.
[14] Menendez R, Cordero PJ, Santos M, Gobernado M, Marco V. Pulmonary infection with Nocardia species: a report of 10 cases and review. Eur Respir J 1997;10(7):1542e6.
[15] Kumar A, Mehta A, Kavathia G, Madan M. Pulmonary and extra pulmonary tuberculosis along with pulmonary nocardiosis in a patient with human immuno deficiency virus infection. J Clin Diagn Res 2011;5: 109e11.
[16] Lerner PI. Nocardia species. In: I.Mandell G, Douglas RG, Benett JE, editors. Principles & practice of infectious diseases. 2nd ed. New York, NY, USA: John Wiley & Sons; 1985. p. 192.
Page 4